全院首例|关节与运动医学科开展踝关节镜下微创手术 帮助患者恢复踝关节功能

发布日期:2024-06-19 浏览量:

6月15日,上海市第一人民医院运动医学科陈疾忤名医“师带徒”工作室成员、骨科运动医学科医疗组长付国建在我院开展全院首例“踝关节镜下修复外侧副韧带手术”,保障了患者术后踝关节功能的恢复,取得了良好的治疗效果,获得患者及家属的肯定。

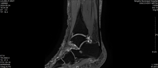
“我的右脚根部已经肿痛一个月了。”近日, 52岁的林女士到我院骨科就诊,恰逢上海市第一人民医院运动医学科陈疾忤名医“师带徒”工作室专家付国建到我院开展诊疗活动。付国建对患者进行踝关节MRI检查后判断患者的病因:经常踝关节扭伤,距腓前韧带损伤,存在踝关节不稳定,导致踝关节软骨损伤、韧带进一步损伤,继发骨质增生、骨赘形成,遂建议患者进行“踝关节镜下修复外侧副韧带手术”。

与患者及家属充分沟通后,6月15日,付国建带领关节与运动医学科医疗团队开展手术,手术历时30分钟,过程非常顺利,术后切口愈合良好,患者功能恢复良好,目前已经出院。

据付国建介绍,踝关节镜下修复外侧副韧带手术与传统手术相比具有非常多的优势。与传统开放手术相比,关节镜手术切口更小,减少了对周围组织的损伤,从而降低了术后感染的风险;手术创伤小,患者术后的疼痛和肿胀较轻,恢复时间更短,可以更快地恢复日常活动和运动。同时,通过高清的关节镜,医生可以清晰地观察到关节内部的情况,从不同角度对关节内部进行操作,同时处理多个问题,如同时修复韧带和清除关节内的游离体,有助于医生进行精确的诊断和治疗,提高了手术的成功率;关节镜手术在修复韧带的同时,也尽量保留关节的正常功能和结构,有利于术后关节功能的恢复。

此外,关节镜手术适用于多种踝关节损伤和疾病,包括但不限于外侧副韧带损伤、软骨损伤、滑膜病变等,这些优势使得踝关节镜下修复外侧副韧带手术成为治疗踝关节损伤的有效选择之一。需要提醒的是,是否选择这种手术方式,需要根据患者的具体情况和医生的专业建议来决定。

踝关节前后骨赘增生,出现撞击征。

距骨后内侧角处出现软骨损伤

距腓前韧带断裂

术后前后增生骨赘清除

专家简介

付国建,运动医学博士,副主任医师。上海交通大学附属第一人民医院骨科运动医学科医疗组长,长三角医院协同发展战略联盟运动医学专科委员会委员兼秘书,上海医学会运医分会运动伤病微创学组委员,江苏省医师协会运动医学医师分会委员,中国康复医学会骨与关节康复专业委员会学组委员。

个人简介:从事关节外科工作15年,系统掌握全身各关节疾病的诊断及治疗方法。

技术特长:以关节镜微创外科为重点,主要开展肩、膝、踝、髋、肘、腕等部位的关节镜下常规和重建手术,包括肩袖损伤修复、肩关节脱位的镜下重建、前后交叉韧带重建、半月板缝合、髌骨脱位镜下重建、膝骨关节炎的微创治疗以及踝关节不稳、软骨损伤、踝关节撞击症的关节镜微创治疗等。科研方面:以肩袖损伤的修复为研究方向,关注干细胞再生医学的研究,发表论文10余篇。参与国家自然科学基金等多项课题,参译专业书籍《膝关节软骨损伤》,有专利2项。

最近更新

总值班电话:0593-2822179  周一到周五:上班时间 8:00-12:00  14:30—17:30

医院地址:福建省宁德市东侨经济技术开发区闽东东路13号

版权所有 宁德师范学院附属宁德市医院 Copyright © 2008-2010 All rights reserved.闽ICP备19021977号  闽公网安备 35090202000159号