近日,我院关节与运动医学科主任医师王小勇医疗团队采用“经内踝截骨+距骨骨囊肿病灶刮除+取自体髂骨联合异体骨植骨内固定术”成功为一位距骨巨大骨囊肿患者实施手术治疗,保障了术后踝关节功能的恢复,取得了良好的治疗效果,获得患者及家属的肯定。
58岁的廖先生10余年前不慎扭伤左脚踝,因当时工作忙碌,疼痛尚能忍受,未曾就医,但偶尔还是会觉得有脚踝酸胀疼痛感,并逐渐频繁。近2个月,病情加重,“行走及站立时间一长,疼痛就加剧,让我的工作生活受到严重影响。”他苦恼地说。
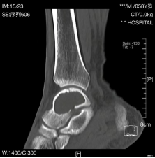
后廖先生经朋友介绍来到我院关节与运动医学科就诊,在完善踝关节CT和核磁共振(MRI)检查后,主任医师王小勇迅速找到了患者的病因:距骨骨囊肿(巨大)。鉴于囊肿巨大,保守治疗效果差,存在骨折风险,遂建议患者手术治疗。由于正常骨被病损所占据,造成骨缺损,大大降低了骨骼的坚固性。因此,手术治疗的目的是彻底清除病灶,消灭囊腔,防止病理性骨折及畸形的发生,恢复骨的坚固性。
入院之后,经详细检查、评估,并与患者及家属充分沟通后,治疗团队决定采取“经内踝截骨+距骨骨囊肿病灶刮除+取自体髂骨联合异体骨植骨内固定术”手术方案。手术由王小勇带领副主任医师庄培峰、黄长智、主治医师李孛实施,在手术室及麻醉科的密切配合下手术过程非常顺利,出血少,时间短,术后切口愈合良好,患者功能恢复良好。
在此也提醒广大市民,踝关节损伤时需要及时就医检查,以清楚损伤程度,距骨软骨损伤和距骨骨髓水肿可能会造成距骨囊肿。
科普链接:距骨骨囊肿是什么病?
距骨骨囊肿是指距骨内形成一个充满棕黄色液体的囊腔,属于骨组织良性瘤样病变,以骨内囊性病损为主要病变。临床表现主要为:踝关节周围局部隐痛、酸胀感、僵硬、无力及轻压痛,还可伴有局部包块或骨质增粗,且疼痛多在行走或负重时明显,休息时缓解。
据文献统计,距骨囊肿中有10%的病人为创伤后形成,创伤后距骨囊肿是由于距骨软骨损伤后导致其下方的骨皮质稀疏坏死,再加上关节囊内压力增高,关节面下可产生凹陷或洞穴,滑液不断从破口流入,关节面下骨囊肿形成,需及时到正规的医疗机构就医。
距骨骨囊肿示意图

术前X线片

术前CT检查

术前MRI检查
王小勇医疗团队手术中

术后X片

术后CT