近日,我院多学科协作团队(MDT)精准施策、协同攻坚,成功为一名72岁高龄、短期内两次突发大量呕血的危重患者实施“经颈静脉肝内门体分流术(TIPS)”,凭借精湛的微创介入技术,团队为患者打通“生命通道”,有效控制病情,目前患者已康复出院。

多学科会诊研判敲定最优治疗方案
患者张爷爷(化名)患有肝硬化病史多年。不久前,张爷爷突发呕血症状,家属紧急将其送至宁德市医院急诊科。接诊医生迅速启动急救流程,同步联动消化内科及重症医学科(ICU)值班医师,为患者在重症监护室开展急诊胃镜止血治疗。术后患者出血暂时得到控制,病情趋于平稳。然而,在住院观察期间,张爷爷再次突发呕血,经二次胃镜止血后,再发出血风险仍极高,生命安全受到严重威胁。
针对复杂危重的病情,我院立即启动消化道出血急危重症多学科联合诊疗机制。消化内科、介入血管外科、肝胆外科、重症医学科、麻醉科等多学科专家迅速集结,对张爷爷的病情进行全面系统评估。专家团队一致判定,患者反复出血的根源为门静脉高压引发的食道胃底静脉曲张破裂,核心治疗关键在于降低门静脉压力,从根源上阻断出血风险。
经专家团队审慎研讨,并与患者家属充分沟通病情及治疗方案后,最终确定采用“经颈静脉肝内门体分流术(TIPS)”这一前沿微创技术。


TIPS技术被誉为治疗门静脉高压并发症的“皇冠级”技术,通过颈静脉穿刺路径,在肝内构建门静脉与肝静脉的分流通道,既能有效降低门静脉压力,又可同步栓塞破裂曲张静脉,实现止血与预防再出血的双重目标,且具备创伤小、恢复快的显著优势,尤为适合高龄危重患者。
微创介入攻坚精准搭建生命通路
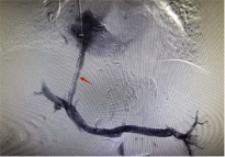
随着手术方案的敲定,张爷爷随之转入介入血管外科,团队完成充分术前评估与准备工作后,在杨维竹教授的带领指导下,介入外科团队依托精准影像导航技术,通过患者颈部微小穿刺点,将导管精准送达目标血管。团队以精细操作完成肝内分流通道的构建,同时对出血责任血管进行致密栓塞,整个手术耗时不足1小时,过程顺利。术后患者门静脉压力显著下降,止血、减压效果立竿见影。
术后,介入血管外科医护团队实施精细化护理,张爷爷未再出现出血症状,生命体征逐步平稳,肝功能等各项指标持续改善,精神状态与食欲稳步恢复。经综合评估,患者符合出院标准,出院前医护团队为其及家属制定了个性化康复指导方案与定期随访计划,保障患者后续康复。
技术解读:TIPS技术——门静脉高压治疗的硬核手段
“门静脉压力如同水库水位,食管胃底曲张静脉则是库区周边薄弱堤坝,水位超出承受极限时,堤坝便可能破裂出血。”我院介入血管外科执行主任刘建雄形象解读,TIPS技术相当于“分洪工程”,通过建立分流通道将门静脉压力降至安全范围,既能快速止住急性出血,又能从根本上降低再出血风险,是药物与内镜治疗无效的难治性出血的首选方案。
杨维竹教授表示,相较于传统开腹分流手术,TIPS技术仅需颈部穿刺,具备微创、可重复操作、围手术期风险低等优势,为高龄、全身状况差、无法耐受开腹手术的患者提供了生存契机。“随着覆膜支架尤其是TIPS专用支架的推广应用,相较于早期裸支架,分流道再狭窄、闭塞率及肝性脑病发生率显著降低,分流通道通畅期延长,患者中长期治疗效果大幅提升。”